去る5月31日(土)、
「第86回とうざん生活習慣病教室」を
開催いたしました。
今回の講師は、内科 熊谷真義医師。
タイトルは「糖尿病今昔物語」です。

日本人の糖尿病第一号は藤原道長氏という話から、
最新の糖尿病薬まで、面白くも分かりやすいお話に、
大好評のうちに終了しました。
参加して下さった方々もよく勉強されていらっしゃり、
多くの質問が出され、活発な会となりました。
心より感謝申し上げます。

「とうざん生活習慣病教室」(旧:成人病教室)は、
現名誉院長の吉田尚義医師が院長をしていた時に
始まりました。

以来20年以上に渡って毎年開催しており、
毎回多くの方にご参加頂いています。
医師や看護師・薬剤師・栄養士等が講師となり、
それぞれの専門分野から、毎回様々なテーマで
お話しさせて頂いています。
地域の皆様の「学びの場」としてご利用頂いていることを、
大変嬉しく思っております。
次回は10月下旬、「リウマチ」をテーマに開催する予定です。
皆様のご参加を心よりお待ち申し上げております。
83回目の「とうざん生活習慣病教室」を、
10月27日(土)、14時から開催致します。
詳細はこちら (←クリックで案内が開きます)
「とうざん生活習慣病教室」(旧:成人病教室)は、
現名誉院長の吉田尚義医師が院長をしていた時に始まりました。
以来20年以上に渡って毎年開催しており、
毎回多くの方にご参加頂いています。
医師や看護師・薬剤師・栄養士等が講師となり、
それぞれの専門分野から、毎回様々なテーマで
お話しさせて頂いています。
地域の皆様の「学びの場」としてご利用頂いていることを、
大変嬉しく思っております。
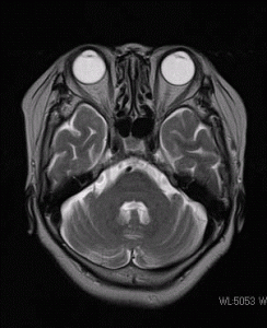
さて、今回のテーマは「脳ドック」。
当院のドック健診センター長、貝瀬 瑠璃子医師が
講師を務めさせて頂きます。
当院では昨年の新築移転を機に、
MRI(磁気共鳴画像装置)を導入致しました。
MRI検査により、今まで分からなかった脳の病変が、
簡単に見つけられるようになりました。

(頭部の断面画像)


(頚部の血管画像)
画像提供:東芝メディカルシステムズ株式会社様
この教室では、皆様にMRIを使った検査について、
分かりやすくご説明致します。
参加は無料、事前の予約は不要です。
皆様お誘いあわせのうえ、どうぞお気軽にお越し下さい。
日時:10月27日(土) 14時~15時30分
場所:調布東山病院 7階 会議室
お問合せ:調布東山病院 総務課 042-481-5513
9月1日付で新たに医師が1名入職致しました。
ご本人から自己紹介させて頂きます。
9月より内科に入職致しました、
矢﨑 清乃(やざき すがの)です。
このたび、縁あって調布東山病院で働くことになり、
とても嬉しく思っております。
大学卒業後、内科研修、消化器内科レジデントを修了したのち、
大学院生をしながら、茨城県内の医院や老人保健施設で診察しておりました。
医学生のころから「プライマリケア」や「在宅医療」に興味があったのですが、
老人保健施設で仕事をしているうちに
「これから高齢者医療に携わるには、リハビリテーションのことを知らなければ」
と感じ、再び東京でリハビリテーションを勉強し、
台東区の診療所で在宅医療を含む地域医療に携わってきました。
診療所勤務では、高齢者や障害を持つ方々を診ることが多かったのですが、
住み慣れたご自宅や地域が人に与える力の大きさや、
医療機関だけではなく、介護や福祉の仕事をなさっている方、公共機関などと
地域ぐるみで連携することの大切さを学びました。
調布東山病院では、内科の外来診療を担当致します。
久しぶりに急性期の病院での仕事になりますが、
患者様は「病人」としてではなく「生活している人」として、
その方の家族の思いや日常生活を常に考えながら診療するように
心がけていきたいと思っています。
そして、職員とともに「地域の人々を支える医療」に
少しでも貢献していきたいと思います。
どうぞよろしくお願い致します。